fbpx

Manejo conservador de un molar inferior con acceso tipo Truss y conservación del puente dentinario

Dr. Ramón Miguens Vila

  • Doctor en Odontología por la Univ. de Santiago de Compostela
  • Profesor del Máster de Endodoncia Avanzada, Odontología Restauradora y Estética en la Univ. de Santiago de Compostela
  • Profesor Asociado de Prácticas Tuteladas: Adultos en la Univ. de Santiago de Compostela
  • Práctica privada en Santiago de Compostela, Zaragoza y Cambados

Introducción

Los primeros molares inferiores son dientes con una anatomía desafiante: raíces divergentes, presencia habitual de dos conductos mesiales con istmo y un conducto distal más amplio que, en ocasiones, presenta ramificaciones y múltiples salidas apicales.

Su abordaje exige un equilibrio entre visibilidad, seguridad mecánica y preservación dentinaria, especialmente en zonas críticas como la dentina pericervical.

En los últimos años, el desarrollo de técnicas de acceso conservador, como el acceso tipo Truss, junto con sistemas de instrumentación más flexibles y respetuosos con la anatomía, han permitido tratar estos dientes minimizando la pérdida de estructura y manteniendo un pronóstico restaurador más favorable.

El caso presentado combina:

  • Un acceso conservador segmentado
  • Limas rotatorias de alta flexibilidad (Endogal)
  • Un control preciso del trayecto de entrada
  • Una estrategia restauradora orientada a preservar estructura útil

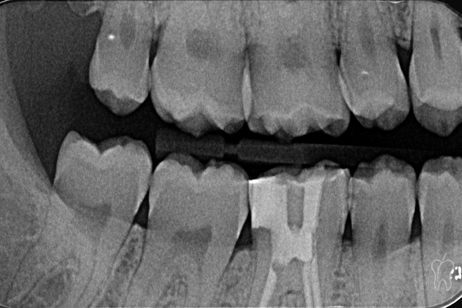
Diagnóstico

La paciente acudió a consulta refiriendo dolor agudo al frío y a los cambios de temperatura en el diente 4.6, acompañado de ligera molestia a la masticación en los últimos días (Figura 1)

Figura 1

La exploración mostró:

  • Caries distal profunda proximopulpar, claramente visible radiográficamente.
  • Vitalidad muy aumentada y dolorosa a las pruebas térmicas.
  • Percusión ligeramente positiva, sin signos de periodontitis apical en la imagen inicial.
  • Sondaje fisiológico en todo el perímetro.
  • Ausencia de movilidad y sin signos de fractura o fisura.
El diagnóstico final fue:
Pulpitis irreversible sintomática sin afectación periapical.

Caso Clínico

Para poder abordar correctamente la lesión cariosa distal sin comprometer el aislamiento, se realizó el aislamiento absoluto apoyado en el 4.7, lo que permitió:

  • Acceder cómodamente a la caries distal.
  • Controlar la humedad.
  • Evitar la contaminación durante la apertura.
Tras eliminar la caries distal, se obtuvo acceso directo y recto al conducto distal, sin interferencias coronales desde esa localización. Esto permitió aprovechar esa ventana distal como primer acceso conservador, preservando la zona oclusal.
 

No obstante, para instrumentar adecuadamente los conductos mesiales, que suelen presentar una angulación marcada, se generó un segundo acceso conservador o acceso mesial, proyectado sobre la zona donde emergen los orificios MV y ML (Figura 2)

Figura 2

Este enfoque corresponde al denominado acceso Truss (Figura 3), que mantiene:

  • El puente dentario central.
  • Parte de la superficie oclusal intacta.
  • Mayor resistencia estructural, especialmente en áreas críticas.

Figura 3

Instrumentación

Tras localizar los conductos, se realizó un ligero ensanchamiento coronal utilizando el instrumento X (Endogal). Este paso permitió eliminar pequeñas interferencias en el tercio coronal y facilitó la entrada posterior de los instrumentos rotatorios sin necesidad de ampliar excesivamente el acceso, algo especialmente útil en un acceso conservador tipo Truss.

A continuación, se permeabilizaron los conductos con limas Pre-K (Endogal) y se procedió a una preinstrumentación rotatoria con 15/03 (Figura 4).

Figura 4

La elección de una preinstrumentación rotatoria en lugar de manual aportó varias ventajas en este caso:

  • Crea un trayecto inicial más uniforme y reproducible, especialmente importante cuando las líneas de acceso están más dirigidas y estrechas.
  • Reduce el riesgo de generar escalones o desviaciones en conductos mesiales finos.
  • Facilita la progresión de los instrumentos posteriores sin necesidad de forzar, disminuyendo la fatiga del material.
  • Ahorra tiempo clínico manteniendo un control adecuado del eje del conducto.

Una vez conseguido ese trayecto inicial, se realizó la preparación definitiva con la siguiente secuencia:

  • Mesiales (MV y ML): 20/04 ; 25/04
  • Distal: 20/04 ; 25/06

El sistema Endogal, gracias a su flexibilidad, tratamiento térmico y la posibilidad de trabajar con conicidades reducidas, facilitó la instrumentación conservadora en los mesiales y un modelado más amplio en el distal sin comprometer la dentina pericervical.

El sistema Endogal, gracias a su flexibilidad, tratamiento térmico y la posibilidad de trabajar con conicidades reducidas, facilitó la instrumentación conservadora en los mesiales y un modelado más amplio en el distal sin comprometer la dentina pericervical.

Irrigación

Durante la instrumentación se mantuvo una irrigación constante con hipoclorito de sodio al 5,25%, aplicado con aguja lateral y sin activación intermedia. Una vez finalizada la preparación de todos los conductos, se realizó un protocolo de irrigación final secuenciado y activado:

  • Hipoclorito de sodio al 5,25%, con activación ultrasónica pasiva mediante puntas específicas (Irri 20, Acteon Satelec).
  • EDTA al 17% (MD Cleanser, Endogal), igualmente activado ultrasónicamente.
  • Hipoclorito de sodio al 5,25% sin activación.
  • Enjuague final con suero fisiológico.

Muy importante la irrigación debajo del puente dentinario para conseguir eliminar los restos de tejido pulpar inaccesibles por la instrumentación.

Obturación

Una vez completada la irrigación y secado del sistema con puntas de papel calibradas, se procedió a la obturación mediante técnica termoplástica utilizando obturadores con transportador de vástago plástico (Endogal, Sarria, España) (Figura 5). Esta técnica permite una condensación tridimensional del material, adaptándose a irregularidades, istmos y zonas de confluencia del sistema radicular.

Como sellador se empleó EndoResin (Endogal), un cemento de resina con alta fluidez y estabilidad dimensional.

Figura 5

Restauración

Con la cámara pulpar completamente limpia y manteniendo intacto el puente dentirario generado por el acceso tipo Truss, se procedió a la fase restauradora.

En primer lugar, se colocó una matriz Palodent (Dentsply Sirona) en la zona distal, junto con cuña y anillo, para recuperar correctamente el contorno proximal y garantizar un sellado adecuado en una zona de difícil acceso debido a la caries previa (Figura 6)

Desde ese acceso distal, se aplicó SDR (Denstply Sirona), permitiendo que el material fluyera por debajo del puente dentinario y alcanzara la zona mesial (Figura 7). Esta maniobra permitió:

  • Sellar de forma eficaz las áreas más profundas e inaccesibles del tercio coronal.
  • Reforzar la base interna.
  • Mantener la integridad del puente dentinario sin necesidad de retirarlo.

Figura 6

Figura 7

Una vez conformada y fotopolimerizada la base, se completó la restauración mediante composite, recuperando la anatomía oclusal y asegurando un sellado coronal estable (Figuras 8 y 9). Se adjunta también radiografía de seguimiento a los 6 meses (Figura 10).

Figuras 8, 9 y 10

Conclusión

El tratamiento del 4.6 combinó un acceso conservador tipo Truss con una instrumentación controlada y una restauración adhesiva orientada a preservar estructura.

El uso de instrumentos flexibles y conicidades reducidas permitió mantener la anatomía original y trabajar con seguridad en un acceso segmentado. La estrategia restauradora, aprovechando el puente dentinario y sellado desde distal con SDR, permitió obtener un cierre coronal predecible en una zona de difícil acceso.

El resultado final fue un tratamiento biológico, conservador y funcional, manteniendo la máxima cantidad de tejido sano y garantizando un pronóstico favorable.

¡La revolución en Endodoncia ha llegado!

El Sistema Endogal te posibilita realizar tus endodoncias de una forma segura para alcanzar el éxito en tus tratamientos.

  • Presente en todas las fases de la Endodoncia
  • Un sistema de instrumentación versátil
  • Lo último en aparatología